لأول مرة بالمنطقة علاج ورم ليفي رحمي بتقنية الكَي
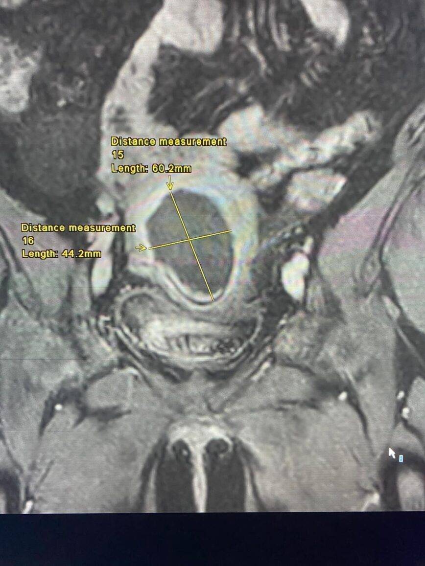
نبأ الأردن - أجرى فريق طبي متخصص من دائرة النسائية والتوليد ودائرة الأشعة برئاسة، العميد الطبيب عامر غرايبة، وأخصائي أول الأشعة تشخيصية الرائد الطبيب محمد حمدي الحياري في مدينة الحسين الطبية عملية كَي لورم ليفي رَحمي بحجم 7 سم مسبّب لنزيف رحمي مستمر وغزارة بالطمث.
وقال العميد غرايبة، إن هذا الإجراء يعتبر من أحدث التقنيات في العالم لعلاج الأورام الليفيّة الرحميّة أو ما يسمى بتليّف الرحم، ويعتبر بديل ناجح للعمليات الجراحية التقليدية “وبشكل خاص للمريضات اللواتي يصعب تعريضهم للتخدير العام لظروفهم الصحية الخاصة”.
وبين أخصائي أول الأشعة التشخيصية والتصوير التلفزيوني التداخلي، الرائد الطبيب محمد حمدي الحياري، أن العملية أجريت تحت التخدير الواعي و تحت توجيه جهاز التصوير التلفزيوني حيث تم إدخال مسبار الكَي داخل الورم الرحمي عبرة فتحة صغيرة في جدار البطن لا يتجاوز طولها 3 مم في وقت إجمالي بلغ 30 دقيقة دون مضاعفات وغادرت المريضة المستشفى بعد 24 ساعة من الإجراء.
وأضاف الرائد الحياري أن هذا النوع من العمليات تتميز بقلة المضاعفات مقارنة بالعمليات الجراحية التقليدية والمحافظة على بطانة الرحم و فرص الحمل المستقبلية و لا يترك أي ندب جراحية.

























